
经观健康
2月4日,北京友谊医院顺义院区心内科顺利完成首例机器人(血管介入手术控制系统)辅助下经皮冠状动脉介入治疗。该患者是一名65岁男性,因冠心病、不稳定型心绞痛入院,检查提示冠脉双支病变、回旋支重度狭窄,符合机器人辅助手术指征。在北京友谊医院副院长、心血管中心主任宋现涛教授的支持与指导下,心内科主任医师姚道阔团队精准操作,仅用时20分钟便顺利完成支架植入,手术圆满成功,患者恢复情况良好。此次实践彰显了医院在智慧医疗领域的引领作用,标志着冠状动脉介入治疗迈向新的征程。

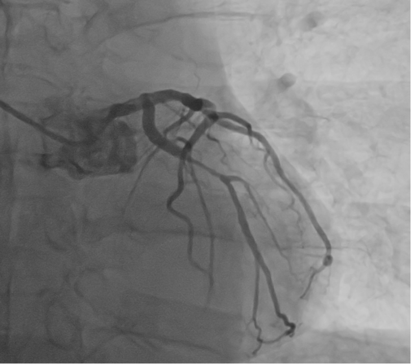
术前冠脉造影,回旋支重度狭窄
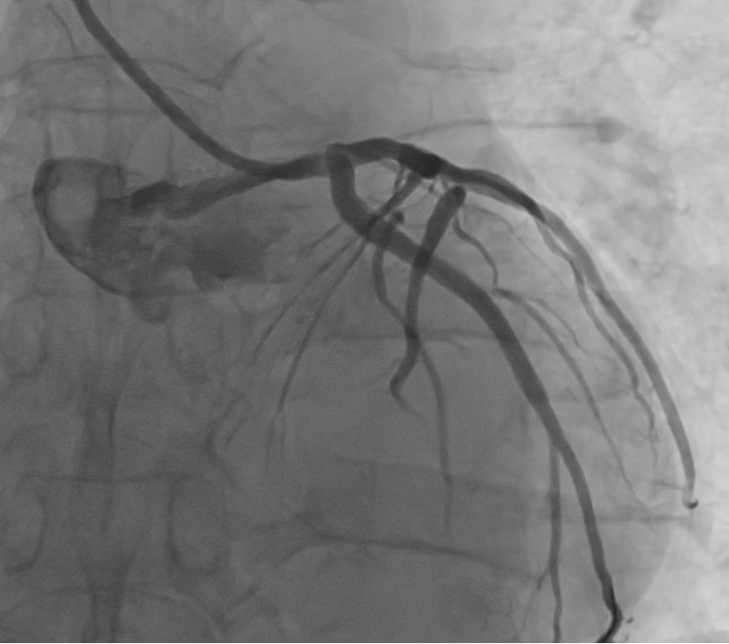
术后冠脉造影,回旋支支架术后未见狭窄患者是一名65岁男性,入院诊断冠心病,不稳定型心绞痛,经术前冠脉CTA评估提示回旋支重度狭窄,进一步行冠脉造影及介入治疗。2月4日,患者完成冠脉造影,结果示双支病变,回旋支重度狭窄,前降支中度狭窄,结果同术前冠脉CTA。经心内科主任医师姚道阔、副主任医师何晓全与主治医师化冰共同讨论,认为该患者符合冠脉介入手术指征,并且符合血管介入控制系统辅助完成冠脉介入手术入组条件,团队决定在血管介入手术控制系统辅助下完成冠脉介入手术。
手术室内,由化冰负责在血管介入控制系统机械臂上安装指引导管、导丝及球囊、支架等手术器械;手术室外,姚道阔操控血管介入控制系统输送器械,并依次对患者靶病变进行球囊扩张及支架植入。经团队紧密配合,血管介入手术控制系统辅助下,患者回旋支狭窄病变成功植入1枚支架,术后造影显示原回旋支狭窄病变完全消失,效果非常满意,手术仅用时20分钟,取得圆满成功。
姚道阔主任医师操作血管介入手术控制系统与DSA联动,完成PCI手术本次手术是北京友谊医院顺义院区成功完成的首例血管介入手术控制系统辅助经皮冠状动脉介入治疗手术。1月20日,国产血管介入手术控制系统辅助完成经皮冠状动脉介入治疗手术的安全性和有效性全国多中心临床试验,首都医科大学附属北京友谊医院分中心启动会顺利召开。标志着这一国家创新医疗器械正式在友谊医院西城院区、顺义院区、通州院区三院区同步开展临床验证。宋现涛教授担任分中心主要研究者(PI),全面指导项目实施。手术的顺利完成,彰显出医院在心血管介入诊疗领域的专业实力,以及对创新医疗技术的发展与应用。
血管介入手术控制系统介绍
血管介入手术控制系统不仅能使介入术者于铅屏蔽控制室内远程操控完成冠脉介入手术,全程规避X射线辐射风险,而且能远程完成导管输送、导丝通过病变、球囊/支架的定位和释放等关键步骤,将操作精度控制在亚毫米级,有效减少人为误差,更好地保障手术流畅性与安全性。
血管介入手术控制系统由中科院孵化的初创企业自主研发,已进入国家药品监督管理局创新医疗器械特别审查程序,获国家重点研发计划项目支持,并成功入围工信部“人工智能医疗器械创新任务揭榜挂帅”名单。作为国内首款实现多通道全程辅助的血管介入手术控制系统,其诞生凝聚了产学研医协同创新的智慧结晶,是我国高端医疗装备自主可控的重要里程碑。
手术中,医生于铅屏蔽控制室内远程操控,全程规避X射线辐射风险,专注手术决策,显著提升职业安全与操作舒适度。手术过程全程精准辅助,提升手术质效。智能辅助完成导管输送及钩冠、导丝通过病变、球囊/支架的定位和释放等关键步骤,亚毫米级操作精度有效减少人为误差,保障手术流畅性与安全性。此外,系统支持双导丝技术及分叉病变多器械同步操作等高级功能,器械切换一键完成,显著提升复杂介入手术效率,应对复杂病变。
此项技术的临床推进,不仅为心血管疾病患者带来更安全、精准、人性化的治疗选择,更将有力推动我国高端医疗器械自主创新与临床转化进程。友谊医院将持续深化“以患者为中心”的服务理念,依托国家平台优势,加速医工交叉成果转化,助力健康中国建设。期待这一国产创新成果早日惠及广大患者,为心血管疾病防治注入科技新动能!
来源:首都医科大学附属北京友谊医院
>>>查看更多:股市要闻